Ortopantomografía Digital

Mena Dental, tu dentista de confianza

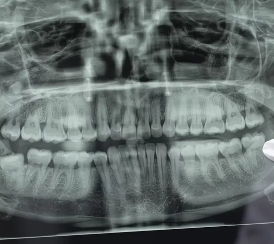
Ortopantomografía Digital

La ortopantomografía o radiografía panorámica es una técnica radiológica que representa una imagen general de los maxilares, la mandíbula y los dientes, por tanto, es de primordial utilidad en el área dentomaxilomandibular. 

Su papel en el diagnóstico odontológico, no solo de los dientes sino también del maxilar y mandíbula, es fundamental. Prácticamente es utilizada de forma sistemática en odontología, llegando a ser un arma diagnóstica rutinaria. El valor diagnóstico de la ortopantomografía en cirugía bucal, implantología, ortodoncia, periodoncia, patología oral y dental está claramente demostrado. 

La ventaja fundamental que nos permite esta técnica es la visualización completa en una sola imagen de todo el área maxilar, superior e inferior, así como sus anexos (mesoencía, ligamentos, articulaciones, etc). Eso nos permite descubrir patologías que escapan a la exploración rutinaria y que sólo podmeos ver a través de esta técnica, pudiendo prevenir de mejor manera cualquier problema.

Galería Clínica Dental Iguazu